
Dental Care
Hollywood smile, Swiss implants and clear aligners to the highest standards for a perfect smile and a more confident, beautiful you
Book NowWhy Choose Dental Treatment in Egypt?
60-70% Less Than UK or German Dental Prices
UK dental implants: £800-£1,200 each; German: €900-€1,500 each. Our Straumann package includes implant, crown, pre-op assessment, and 4 nights stay - typically less than a single implant at home.
Hollywood Smile (E.max veneers): £600-£1,500 per tooth privately in the UK vs a full smile design package in Egypt for a fraction of that cost.
JCI-Accredited Clinics, Internationally Trained Dentists
JCI accreditation is the international equivalent of UK CQC and German TUV medical certification. All materials meet EU CE standards - Straumann, Nobel Biocare, IPS E.max.
All dentists hold international qualifications and active ITI (International Team for Implantology) memberships.
No 6-18 Month NHS Dental Wait
Finding an NHS dentist in the UK now takes 6-18 months in most regions. With Pyramedz: full smile design or implant plan starts within days of arriving in Cairo.
Full dental report and X-rays in English for your UK dentist or German Zahnarzt on discharge. WhatsApp aftercare for the full recovery period.

Tailored Dental Packages in Egypt
Prices shown in € EUR. Rate is indicative - actual charge may vary slightly.

E.max Veneers Package
20 E.max veneers + 4 nights stay + private driver + airport pickup and drop-off


Swiss Straumann Implants (Both Jaws)
12 implants + 24 crowns + lab tests + 4 nights stay
Can't find the right package? Your perfect smile is one message away
Every dental case is unique, and we understand your needs may not fit a standard package. Reach out to our team and we'll design a personalised treatment plan that fits your clinical needs and budget perfectly.
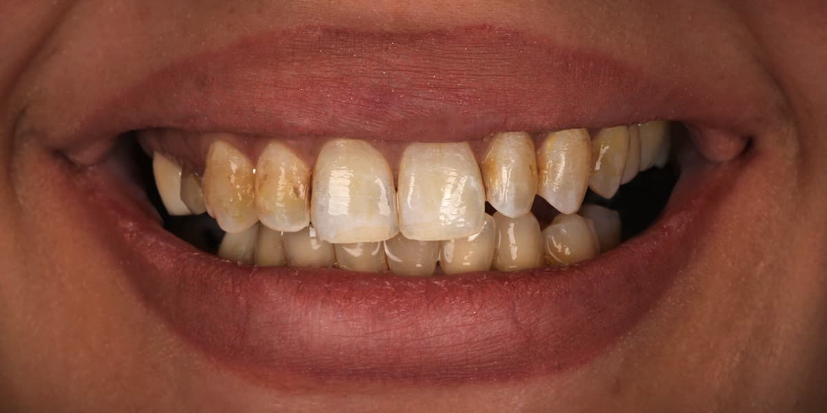
Dental Treatment Results with Pyramedz
Browse our patients' before & after photos
Before
AfterFull Upper Jaw Implants
Before
AfterE.max Veneers - Hollywood Smile
Before
AfterE.max Veneers - Full Whitening
Patient Reviews
Real experiences from patients who trusted Pyramedz
